Lungenkrebs: Wenn die Bestrahlung nicht wirkt

Manche Lungentumore sprechen nicht auf die Strahlentherapie an. Dieser Effekt kann durch die Blockade eines Enzyms in den Tumorzellen aufgehoben werden, wie ein Würzburger Forschungsteam berichtet.

Lungenkrebs ist mit 2,2 Millionen Neuerkrankungen und rund 1,8 Millionen Todesfällen allein im Jahr 2020 die häufigste Krebserkrankung der Welt. Zwar hat sich das Wissen über die Krankheit erheblich verbessert, und mit neuen therapeutischen Strategien kann das Leben von zuvor unheilbaren Patientinnen und Patienten verlängert werden. Doch die Zahlen zeigen deutlich, dass die Sterblichkeitsrate immer noch viel zu hoch ist.

Um die Zahl der Todesfälle bei dieser Tumorart weiter zu senken, sind neuartige und verbesserte Behandlungen erforderlich. Ein Würzburger Forschungsteam konzentriert sich dabei auf die Strahlentherapie. Diese ist in Kombination mit der Chemotherapie nach wie vor einer der wichtigsten Behandlungsansätze. Das gilt besonders für nichtkleinzellige Lungentumore im Spätstadium, bei denen die Therapiemöglichkeiten eher begrenzt sind.

PTEN-Mutation eignet sich als Biomarker

Bei diesem Typ von Lungentumoren kann die Strahlentherapie wirkungslos bleiben. Das liegt am Zusammenspiel einer häufigen, spezifischen Mutation im PTEN-Gen mit dem DNA-Reparaturenzym ATM, wie das Würzburger Team herausgefunden hat.

Lungentumore, in denen diese Mutation auftritt, lassen sich aber therapeutisch beeinflussen. Mit zwei experimentellen Hemmstoffen gelang es den Forschenden, das DNA-Reparaturenzym in den Tumorzellen zu blockieren. Als Folge davon wurden die Tumore wieder empfindlich gegen die Bestrahlung und ließen sich in Tumormodellen abtöten.

Hemmstoffe in der präklinischen Testung

„Solche Hemmstoffe sind für den Einsatz am Menschen noch nicht zugelassen, befinden sich aber in der klinischen Testphase“, erklärt Krebsforscher Dr. Markus Diefenbacher vom Biozentrum der Universität Würzburg. Sein Team hat die neuen Erkenntnisse gemeinsam mit einer Gruppe um den Strahlentherapeuten Dr. Thomas Fischer aus der Arbeitsgruppe von Professor Michael Flentje vom Universitätsklinikum Würzburg im Journal Cell and Bioscience veröffentlicht.

Falls die Hemmstoffe die klinischen Tests bestehen, bieten sie eine neue Chance: Die PTEN-Mutation eignet sich als Biomarker, der eine Bestrahlungsresistenz des Tumors anzeigt. Mit entsprechenden Analysen könnte man gezielt Patienten und Patientinnen identifizieren, die womöglich von einer Kombination aus Hemmstoff und Strahlentherapie profitieren. Das könnte sich schnell realisieren lassen: Schon jetzt werden Erkrankte mit nichtkleinzelligem Lungenkrebs routinemäßig auf PTEN und andere krankheitsrelevante Mutationen untersucht.

Fokus auf Verringerung der Strahlendosis

Gegenwärtig befassen sich mehrere klinische Studien mit den Auswirkungen von PTEN und ATM auf die Therapieergebnisse. „Wir sind zuversichtlich, dass unsere neuen Erkenntnisse großes Interesse daran wecken werden, diese innovative Strategie für die Therapie der nichtkleinzelligen Lungentumore weiter zu verfolgen“, sagt Professor Michael Flentje.

Die Strahlentherapie ist eine Hauptstütze bei der Behandlung von Tumoren der Atemwege und anderer Organe im Spätstadium. Das Würzburger Team erforscht darum weiterhin neue Strategien und Zielmoleküle. Dabei liegt ein Fokus darauf, die Strahlendosis so zu verringern, dass sich der gewünschte therapeutische Erfolg noch einstellt und gleichzeitig das gesunde Gewebe um den Tumor herum so weit wie möglich geschont wird.

Publikation

Fischer, T., Hartmann, O., Reissland, M. et al. PTEN mutant non-small cell lung cancer require ATM to suppress pro-apoptotic signalling and evade radiotherapy. Cell Biosci 12, 50 (27. April 2022). https://doi.org/10.1186/s13578-022-00778-7 

Förderer der Arbeit

Diese Forschungsarbeit wurde finanziell gefördert von der Deutschen Krebshilfe, der Deutschen Forschungsgemeinschaft, der German-Israeli Foundation und dem Interdisziplinären Zentrum für Klinische Forschung Würzburg.

Kooperationspartner

Die Ergebnisse stammen von einem Team aus klinischer Forschung, Biochemie, Biologie, Strahlentherapie und Chirurgie. Unter der Leitung der translationalen Forschungsgruppe von Dr. Markus E. Diefenbacher und der Radio-Onkologie-Gruppe von Professor Michael Flentje haben Mitarbeiter aus der Würzburger Pathologie (Dr. Gerhard-Hartmann und Dr. Mathias Rosenfeldt), dem Robert-Bosch-Krankenhaus Stuttgart (Professor Hans-Georg Kopp), vom Dr. Margarete Fischer-Bosch Institut für klinische Pharmakologie Stuttgart (PD Dr. Frank Essmann) und vom Institut für Biochemie II der Goethe-Universität Frankfurt (Dr. Christian Münch) die Arbeit maßgeblich unterstützt.

 

einBlick - Das Online-Magazin der Universität Würzburg vom 05.07.2022

 

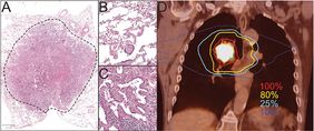
Links ein angefärbtes Adenokarzinom aus der Lunge. Der vergrößerte Ausschnitt B zeigt gesundes Lungengewebe, der vergrößerte Ausschnitt C ein Adenokarzinom. Unter D ist das PET-CT eines stoffwechselaktiven zentralen Lungentumors zu sehen, nahe an Luftröhre, Herz und Speiseröhre. Farbig dargestellt ist die Bestrahlungs-Dosisverteilung: Gewünschte Dosis 100% im Tumor und 80% im erweiterten Tumor-Bereich. 25% und 10% der Bestrahlungsdosis (türkise und blaue Linien) technisch bedingt im gesunden Gewebe. (Bild: Oliver Hartmann, JMU / Thomas Fischer, UKW)