Aktuelle Pressemitteilungen

Eine Widmung, die Leben rettet

Die Vogel Stiftung hat Unipräsident Alfred Forchel anlässlich seines 65. Geburtstags einen mit 30.000 Euro dotierten Forschungsförderpreis gewidmet. Dessen Ziel ist es, eine schnelle und zielgerichtete Behandlung von Schlaganfällen zu ermöglichen.

Im August dieses Jahres konnte der Präsident der Julius-Maximilians-Universität (JMU) seinen 65. Geburtstag feiern. Zu diesem Anlass hatte die Universität am 13. Oktober Vertreter aus Wissenschaft, Politik, Kirche und Wirtschaft zu einem Festsymposium in die Neubaukirche eingeladen.

Eine besondere Überraschung überreichte dabei Dr. Kurt Eckernkamp an Alfred Forchel. Eckernkamp war viele Jahre Geschäftsführer und Aufsichtsratsvorsitzender der Vogel-Mediengruppe in Würzburg; gemeinsam mit seiner Gattin Nina Eckernkamp-Vogel gründete er 2010 die Vogel Stiftung Dr. Eckernkamp, die sich der Förderung von Bildung, Wissenschaft, Medizin und Kultur verschrieben hat.

Durch gute Forschung Leben retten

Das Geschenk: ein Forschungsförderpreis in Höhe von 30.000 Euro, der dem Unipräsidenten gewidmet ist. „Ich möchte Ihren Geburtstag, Herr Präsident, zum Anlass nehmen, im Namen der Vogel Stiftung Ihnen und der Universität herzlich Danke zu sagen für Ihre Unterstützung und die überaus erfolgreiche Kooperation“, sagte Eckernkamp beim Überreichen der Urkunde. Unter dem Leitgedanken „Durch gute Forschung Leben retten“, soll das Geld dafür eingesetzt werden, die Versorgung von Schlaganfallpatienten in Unterfranken zu verbessern.

Die beteiligten Wissenschaftler können dabei auf bereits existierende Strukturen zugreifen: Das Schlaganfallnetzwerk TRANSIT-Stroke wurde 2011 unter der Federführung des Universitätsklinikums Würzburg gegründet. Es bietet allen angebundenen Kliniken in Unterfranken eine lückenlose Schlaganfallversorgung mit den neuesten medizinischen Diagnostik- und Therapieoptionen. Durch die telemedizinische Vernetzung der Kliniken können vor allem schwer betroffene Patienten zeitgerecht in die entsprechend spezialisierten Zentren verlegt werden, um hier eine optimale medizinische Behandlung zu erhalten.

Neue Therapie nach einem Schlaganfall

In der jüngsten Vergangenheit hat die Therapie des Schlaganfalls eine bahnbrechende Neuerung erfahren. Durch spezielle Verfahren können verschlossene Gefäße wiedereröffnet und die Durchblutung des Gehirns wiederhergestellt werden. Dieses Verfahren ist vergleichbar mit der Durchführung eines Herzkatheters nach einem Herzinfarkt und verbessert sowohl das funktionelle Ergebnis wie auch das Überleben des Patienten mit einem Schlaganfall.

Diese neue Methode wurde nun am Universitätsklinikum Würzburg etabliert und wird mit großem Erfolg angewendet. Die mechanische Wiedereröffnung von Gefäßen des Gehirns ist der bisherigen Akuttherapie mit Gerinnsel auflösenden Medikamenten überlegen. Allerdings ist die Therapie nur für eine Untergruppe der Schlaganfallpatienten mit Verschluss eines großen Gefäßes geeignet – etwa zehn bis 15 Prozent aller Schlaganfälle.

Die beste Behandlung für die Betroffenen

In einem nächsten Schritt wollen die Beteiligten deshalb ein Verfahren etablieren, das sicherstellt, dass diejenigen Patienten, die von diesem Verfahren am meisten profitieren, identifiziert und schnellstmöglich in ein spezialisiertes Behandlungszentrum eingeliefert oder aus einer anderen Klinik verlegt werden, die das Verfahren selbst nicht vorhält. Um dies zu erreichen, müssen sowohl die Strukturen des TRANSIT-Stroke Netzwerkes als auch die notfallmedizinische Versorgungsstrategie angepasst werden. Das Ziel ist es, Schlaganfallpatienten die jeweils beste Behandlung ohne Zeitverzögerung anzubieten.

Schulungen stehen am Anfang 

Schulungen sollen den erstversorgenden Notärzten die klinischen Entscheidungskriterien vermitteln, die einen umgehenden Transport in ein Zentrum sinnvoll machen, das die mechanische Wiedereröffnung des verschlossenen Gefäßes durchführen kann. In Unterfranken sind diese Zentren aktuell die überregionalen Schlaganfalleinheiten in Bad Neustadt und Schweinfurt (zu bestimmten Zeiten) und das Universitätsklinikum Würzburg mit 24-stündiger Rufbereitschaft.

Darüber hinaus muss die teleradiologische Vernetzung unter den an TRANSIT beteiligten Kliniken verbessert werden, um die großen Gefäßverschlüsse sicher durch Spezialisten zu diagnostizieren und die Verlegungen aus anderen Kliniken zu steuern. Diese Maßnahmen erfordern einen hohen strukturellen Aufwand; zusätzlich müssen weitreichende Fortbildungs- und Schulungsmaßnahmen für Kliniken, Notärzte und Rettungsdienst durchgeführt werden.

Das hierfür geplante Projekt ist interdisziplinär angelegt, daran beteiligt sind Experten aus der Neurologie, der Epidemiologie, der Neuroradiologie und Notfallmedizin.
Dank an Kurt Eckernkamp
Hocherfreut zeigte sich Unipräsident Alfred Forchel über diese Unterstützung. „Das Projekt verbessert die Lebensqualität nach einem Schlaganfall und rettet Leben. Außerdem kommt es den Menschen der Region Unterfranken unmittelbar zu Gute“, sagte er und dankte Kurt Eckernkamp herzlich.

Links
Mehr Informationen zu TRANSIT-Stroke (https://www.transit-stroke.de/index.php)
Homepage der Vogel Stiftung: www.vogel-stiftung.de

 

Pressemitteilung als PDF zum Download.

Uniklinikum Würzburg: Infotag zur Diagnostik und Therapie des Multiplen Myeloms

Am Samstag, den 4. November 2017, findet zum fünften Mal das Myelom-Forum am Uniklinikum Würzburg statt. Die Veranstaltung informiert Patienten, Angehörige und alle sonstigen Interessierten über Neuigkeiten in der Diagnostik und Behandlung der bösartigen Krebserkrankung des Knochenmarks.

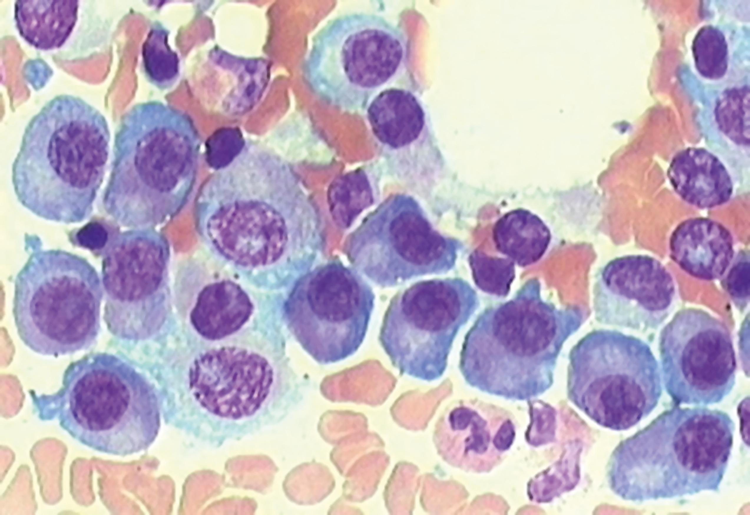
Violette Plasmazellen eines Myelom-Patienten
Im Knochenmark-Ausstrichpräparat sind die vielen, hier violetten Plasmazellen eines Myelom-Patienten zu erkennen. Bei Gesunden darf höchstens jede 20. Knochenmarkzelle eine Plasmazelle sein. Bild: Uniklinikum Würzburg

Das jährlich am Uniklinikum Würzburg (UKW) veranstaltete Myelom-Forum bringt regelmäßig hunderte Patienten, Angehörige und sonstige Interessierte aus ganz Deutschland nach Würzburg. Grund ist das hier versammelte, hohe Spezialwissen zum Multiplen Myelom (MM). So gilt das UKW als eines der europaweit führenden Zentren bei der Behandlung der bösartigen Krebserkrankung des Knochenmarks. Darüber hinaus gehört MM zu den Forschungsschwerpunkten des Comprehensive Cancer Center (CCC) Mainfranken, des am UKW angesiedelten Onkologischen Spitzenzentrums.

Chancen der Personalisierten Medizin

Die diesjährige Neuauflage des Forums findet am Samstag, den 4. November 2017, statt. Ab 9:00 Uhr referieren Experten des UKW im Hörsaal 1 des Zentrums für Innere Medizin (ZIM) an der Oberdürrbacher Straße über neue Erkenntnisse sowie aktuelle Diagnose- und Therapiemethoden. „Ein wichtiges Stichwort dabei ist ‚Personalsierung‘ – sowohl in der Diagnostik, wie auch in der Behandlung“, schildert Prof. Hermann Einsele, Direktor der Medizinischen Klinik und Poliklinik II des UKW. Der international renommierte Myelom-Experte fährt fort: „Beim Forum werden die Teilnehmerinnen und Teilnehmer zum Beispiel mehr erfahren über die am Uniklinikum Würzburg gebotenen Möglichkeiten der innovativen Genomsequenzierung in der MM-Diagnostik. Außerdem werden wir erläutern, wie weit wir mit unseren Plänen vorangeschritten sind, das körpereigene Immunsystem gegen die Krankheit zu wenden.“

Nuklear- und Komplementärmedizin, Symptom-Management

Weitere Vorträge widmen sich neuen nuklearmedizinischen Verfahren sowie komplementärmedizinischen Ansätzen. Das Forum thematisiert zudem die Probleme, die das Myelom selbst, wie auch die Nebenwirkungen aus dessen Behandlung bei den Knochen und den Nieren der Betroffenen hervorrufen können. Wie in den vergangenen Jahren auch, wird eine Diskussion den Zuhörerinnen und Zuhörern Gelegenheit geben, von qualifizierter Seite Antworten auf persönliche Fragen zu erhalten. Ebenfalls schon gute Tradition sind die begleitenden Infostände in der Magistrale des Zentrums für Innere Medizin, die eine unkomplizierte Kontaktaufnahme mit Selbsthilfegruppen und weiteren Initiativen ermöglichen.

Anmeldung erforderlich

Die Teilnahme am 5. Myelom-Forum Würzburg ist kostenlos. Wegen der begrenzten Teilnehmerzahl bitten die Veranstalter allerdings um eine Anmeldung im Sekretariat von Prof. Hermann Einsele unter E-Mail: schaefer_b@ukw.de oder Tel: 0931/201-40001.

Über das Multiple Myelom

Beim Multiplen Myelom entarten im Knochenmark bestimmte Immunzellen. Sie überfluten den Körper mit fehlerhaft produzierten Antikörpern, unterdrücken durch ihr aggressives Wachstum die Blutbildung und schädigen durch verstärkten Knochenabbau das Skelett. In Deutschland erkranken pro Jahr etwa 3.500 Menschen an dieser Untergruppe des Lymphknotenkrebses.

Pressemitteilung als PDF zum Download.

Violette Plasmazellen eines Myelom-Patienten
Im Knochenmark-Ausstrichpräparat sind die vielen, hier violetten Plasmazellen eines Myelom-Patienten zu erkennen. Bei Gesunden darf höchstens jede 20. Knochenmarkzelle eine Plasmazelle sein. Bild: Uniklinikum Würzburg

Würzburger Hörtag 2017: Wie finde ich die richtige Lösung für mein Hörproblem?

Am Samstag, dem 11. November 2017, lädt das interdisziplinäre Hörzentrum der Würzburger HNO-Universitätsklinik (CHC) alle Interessierten zu einem Infotag „Besser Hören und Verstehen im Alltag“ rund um das Thema Hören und individuelle Hörverbesserung ein.

Die HNO-Klinik des Uniklinikums Würzburg betreibt seit acht Jahren ein interdisziplinäres Hörzentrum (Comprehensive Hearing Center – CHC), in dem Betroffenen nach umfassender Diagnostik eine individuelle Therapie für ihre Hörprobleme angeboten wird. Welche Möglichkeiten es hierzu gibt, können Interessierte am Samstag, den 11. November 2017, beim Würzburger Hörtag des Zentrums erfahren.

Referenten greifen zentrale Fragen auf

In einem Vortragsblock von 10:00 bis 12:00 Uhr geben Experten Antworten auf folgende Fragen: Wie funktioniert das Hören und was kann gestört sein? Wie kann man das Hören verbessern? Warum ist die Früherkennung von Hörstörungen so wichtig? Was ist ein Cochlea Implantat und was kann es leisten? Hören trainieren – ist das notwendig? Hören mit Hörgeräten – was kann zusätzlich nützlich sein?

Individuelle Beratung und kostenloser Hörtest

Anschließend gibt es bis 13:00 Uhr die Gelegenheit, sich in individuellen Gesprächen mit den jeweiligen Spezialisten zu informieren. An Infoständen präsentieren zudem Hörakustiker, CI-Firmen, Selbsthilfegruppen und Rehabilitationseinrichtungen ihr Leistungsangebot.Für alle, die sich nicht sicher sind, ob ihre Hörstörung schon behandlungsbedürftig ist, führt das Comprehensive Hearing Center am Hörtag kostenlose Hörtests durch – von 8:00 bis 9:45 Uhr und von 12:00 bis 13:00 Uhr.

Anmeldung erforderlichVeranstaltungsort ist der Hörsaal der Universitäts-HNO-Klinik, Josef-Schneider-Straße 11, Haus B2, 1. Stock.

Da die Teilnehmerzahl begrenzt ist, bitten die Organisatoren um eine Anmeldung ab 16. Oktober bis spätestens 08. November 2017. Möglich ist dies von Montag bis Freitag zwischen 13:00 und 15:30 Uhr unter Telefon: +49 931 201-21735.

Weitere Infos unter www.chc.ukw.de, Rubrik „Veranstaltungen CHC“.

Pressemitteilung als PDF zum Download

Transfusionsmediziner des Uniklinikums Würzburg erhalten fast 400.000 Euro für Thrombozytenforschung

Die Arbeitsgruppe von Dr. Anna Kobsar und Dr. Jürgen Kößler am Institut für Klinische Transfusionsmedizin und Hämotherapie des Uniklinikums Würzburg erhält annähernd 400.000 Euro für ein dreijähriges Forschungsvorhaben. Ihre Grundlagenforschung zur Biochemie von Thrombozyten zielt letztlich darauf ab, das Auftreten von Transfusionsreaktionen und die Entstehung von Autoimmunerkrankungen zu vermeiden.

Thrombozyten als Teil des Immunsystems

Was steckt hinter dem medizinisch-fachlichen Forschungstitel? Dr. Kößler erläutert: „Thrombozyten sind nicht nur für die Blutstillung und Blutgerinnung von Bedeutung, sondern wirken auch als Bestandteil des Immunsystems. So sind sie beispielsweise in der Lage, über Toll-like-Rezeptoren mit verschiedenen Immunzellen zu interagieren. Dabei können sie potenziell zum Auftreten von Transfusionsreaktionen und zur Entstehung von Autoimmunerkrankungen beitragen.“ Das Ziel des Projekts sei es, zu verstehen, wie die Toll-like-Rezeptorfunktion durch den Proteinstoffwechsel in den Thrombozyten reguliert wird, um mögliche pharmakologische Ansatzpunkte zu finden.

Pressemitteilung als PDF zum Download

Das Seelsorgeteam des Uniklinikums Würzburg öffnet einen „Schatz der Erinnerung“

Das Team der Klinikseelsorge des Uniklinikums Würzburg (UKW) stellt in den kommenden Wochen sukzessive die Anliegenbücher der vergangenen 13 Jahre zum Nachlesen aus. So werden die hier festgehaltenen Gedanken, Sorgen und Danksagungen zu einem „Schatz der Erinnerung.“

Im Raum der Stille im Doppelzentrum für Operative und Innere Medizin (ZOM/ZIM) des Uniklinikums Würzburg (UKW) an der Oberdürrbacher Straße liegt immer ein Anliegenbuch auf. Viele Patienten, Angehörige, Besucherinnen und Besucher sowie Beschäftigte des Klinikums schreiben darin ihre Gedanken, Sorgen, Hoffnungen, Gebete und Danksagungen nieder.

„Seit der Inbetriebnahme des ZOM im Jahr 2004 ist auf diese Weise eine kleine Bibliothek von 14 vollgeschriebenen Anliegenbüchern zusammengekommen“, berichtet Pater Maximilian Bauer, der katholische Leiter des ökumenischen Seelsorgeteams des UKW. Diese werden in der Sakristei des Raums der Stille aufbewahrt. Hin und wieder lesen Mitglieder des Seelsorgeteams ausgewählte Inhalte als Fürbitten in den dortigen Gottesdiensten vor.„Jetzt wollen wir diesen ‚Schatz der Erinnerung‘ nach und nach der Öffentlichkeit nochmals in seiner Gesamtheit zugänglich machen“, kündigt Klinikseelsorgerin Marion Mack an.

Dazu werden die Bücher ab 17. Oktober 2017 sukzessive auf einem Ständer an der Außenrundung des Raums der Stille ausgelegt. So können alle Interessierte in den Sammlungen blättern und lesen. „Neue“ Anliegen können weiterhin von jedermann im Raum der Stille in das dort bereitgestellte, aktuelle Buch geschrieben werden. „Mit der Aktion wollen wir die Sorgen und Nöte der Menschen in einem Krankenhaus, aber auch deren Hoffnung, Erleichterung und Dankbarkeit ein weiteres Mal öffentlich wertschätzen. Das Lesen in den Anliegenbüchern soll nach unserer Vorstellung zur Erinnerung, zum Nachdenken und zur Anteilnahme anregen“, verdeutlicht Klinikseelsorgerin Andrea Lorey.

Das Projekt läuft bis zum Advent dieses Jahres und soll von Zeit zu Zeit wiederholt werden.

Pressemitteilung als PDF zum Download

Uniklinikum Würzburg: Artur-Pappenheim-Preis für Dr. Michael Hudecek

Der Krebsforscher Dr. Michael Hudecek vom Uniklinikum Würzburg wurde für eine seiner wissenschaftlichen Arbeiten mit dem Artur-Pappenheim-Preis der Deutschen Gesellschaft für Hämatologie und medizinische Onkologie ausgezeichnet.

Der mit 10.000 Euro dotierte Artur-Pappenheim-Preis der Deutschen Gesellschaft für Hämatologie und Medizinische Onkologie (DGHO) ehrt herausragende wissenschaftliche Arbeiten, die sich mit klinischen, experimentellen oder theoretischen Fragen der Hämatologie beschäftigen. Die diesjährige Ausgabe des Awards ging auf der Jahrestagung der Deutschen, Österreichischen und Schweizerischen Gesellschaften für Hämatologie und Medizinische Onkologie Ende September in Stuttgart an Dr. Michael Hudecek. Der an der Medizinischen Klinik II des Uniklinikums Würzburg (UKW) beschäftigte Forscher wurde damit für seine Arbeit „The Nonsignaling Extracellular Spacer Domain of Chimeric Antigen Receptors Is Decisive for In Vivo Antitumor Activity“ ausgezeichnet.

Forschung an gentechnisch verbesserten T-Zellen

Dahinter verbringt sich eine große Hoffnung der zukünftigen Krebstherapie: T-Zellen. Sie zählen zu den stärksten Waffen der körpereigenen Immunabwehr. Leider können diese Killer in der Regel Krebszellen nicht von gesunden Zellen unterscheiden und greifen sie deshalb auch nicht an. Dies ändert sich, wenn die T-Zellen mit einem synthetischen, sogenannten chimären Antigenrezeptor ausgerüstet werden. Der chimäre Antigenrezeptor, kurz CAR, arbeitet wie ein Sensor, der sich gezielt an ein Oberflächenmolekül auf den Tumorzellen bindet. Mit dieser gentechnischen Verbesserung sollen T-Zellen in die Lage versetzt werden, Krebszellen im Körper aufzuspüren und zu eliminieren.

Die Arbeitsgruppe von Dr. Hudecek konnte zeigen, dass das spezifische Design von CARs die Tumorzellerkennnung und die CAR-T-Zellfunktion beeinflusst. Sie identifizierten Designparameter, die gezielt moduliert werden können, um die Antitumorwirksamkeit von CAR-T-Zellen zu erhöhen.

Einer der aussichtsreichsten Therapieansätze der Krebsforschung

„Die CAR-T-Zell-Therapie gehört zu den aussichtsreichsten Behandlungsformen der aktuellen internationalen Krebsforschung. Insofern ist es vollkommen gerechtfertigt, dass Dr. Hudecek mit dem Artur-Pappenheim-Preis die höchste Auszeichnung der DGHO erhielt“, freut sich Prof. Hermann Einsele, der Direktor der Medizinischen Klinik und Poliklinik II des UKW.

Der Namenspatron des Preises, Artur Pappenheim (1870 –1916), war ein deutscher Hämatologe, der sich intensiv mit der Blutzellforschung befasste.

Die Pressemitteilung als PDF zum Download

Uniklinikum Würzburg mit neuem Internetauftritt

Schlanker, funktioneller, informativer: Das Uniklinikum Würzburg hat seine Website umfassend überarbeitet.

Wichtiger Pluspunkt: Durch ihr Responsive Webdesign kann die Homepage des Uniklinikums Würzburg auf sämtlichen Display-Größen schnell sowie gut les- und nutzbar angezeigt werden. Bild: Uniklinikum Würzburg

Vor wenigen Tagen ging unter www.ukw.de die tiefgreifend aktualisierte und vollkommen neu gestaltete Version der Website des Uniklinikums Würzburg ans Netz. Einer der wesentlichen Pluspunkte des neuen Auftritts ist die Optimierung für mobile Endgeräte. Ein sogenanntes Responsive Webdesign sorgt für eine gute Lesbarkeit und schnelle Ladezeiten auch mit Smartphones und Tablets.

Der Relaunch hat gegenüber der alten Version ferner die Barrierefreiheit und die Suchmaschinenoptimierung verbessert. Unter Barrierefreiheit versteht man unter anderem, wie gut ein Internetauftritt auch für Menschen mit Sehbehinderung funktioniert – ihnen werden die Inhalte einer Website maschinell vorgelesen. Der Begriff Suchmaschinenoptimierung bezeichnet Maßnahmen, die dazu führen, dass Webseiten und deren Inhalte im Ranking der Suchmaschinen auf vorderen Plätzen erscheinen.

Verbesserte Suche, einheitliche Navigation

Die neue Internetpräsenz des Würzburger Krankenhauses der Maximalversorgung zeichnet sich ferner durch eine schlankere, klarere und über alle Klinikumsbereiche hinweg verbindliche Navigationsstruktur aus. Dazu wurden zum Beispiel das Gliederungslayout der Kliniken vereinheitlicht und auf Zielgruppen hin ausgerichtet. Eine optimierte Suchfunktion erleichtert die Recherche innerhalb der riesigen Informationsquelle. Weitere Features, die das Navigieren in der Seite erleichtern, sind ein Ärztefinder, eine ausführliche Kliniksuche sowie ein sogenannter Körperkompass für eine intuitive Suche. Was den „Content“, also die Inhalte, der Internetseiten, angeht, wurde bei der Totalrenovierung radikal entschlackt, gestrafft, umgestaltet und größtenteils neu erstellt.

Mit einer frisch designten Nutzeroberfläche präsentiert sich das Klinikum freundlich und modern. Außerdem folgen die Darstellungen jetzt noch besser dem Corporate Design des UKW. Der Auftritt im neuen Look wird kontinuierlich erweitert, ergänzt und aktualisiert.

Wichtiger Pluspunkt: Durch ihr Responsive Webdesign kann die Homepage des Uniklinikums Würzburg auf sämtlichen Display-Größen schnell sowie gut les- und nutzbar angezeigt werden. Bild: Uniklinikum Würzburg