Die Vereinigung Akustikus Neurinom VAN tagt in Würzburg

Das Uniklinikum Würzburg lädt alle Interessierten am Samstag, 25. Oktober 2025, zur Jahrestagung der Vereinigung Akustikus Neurinom VAN e.V. in die Kopfklinik ein.

 

Würzburg. Die Patienten-Selbsthilfeorganisation VAN e.V. wurde vor fast 40 Jahren auf Anregung von Prof. Dr. Madjid Samii in Hannover gegründet und unterstützt seither Betroffene mit Tumoren der Hör- und Gleichgewichtsnerven. Unter dem Motto „Diagnose Akustikusneurinom – das Würzburger Konzept“ hält die VAN ihre Jahrestagung 2025 am Samstag, 25 Oktober, in der Kopfklinik des Uniklinikums Würzburg (UKW) ab. Unterstützt von dessen interdisziplinären Expertenteam der Neurochirurgie und der HNO-Heilkunde bietet die um 9:00 Uhr beginnende Veranstaltung ein Programm mit allgemeinverständlichen Fachinformationen zu zentralen Fragen der Patientinnen und Patienten. Außerdem besteht breite Gelegenheit zum persönlichen Austausch.
Die Teilnahme ist kostenlos. Wichtig ist eine Anmeldung bis zum 10. Oktober 2025 bei Hannelore Fichte unter E-Mail: hannelore.fichte@akustikus.de.
Das Programm und weitere Details befinden sich auf unserer Website unter der Rubrik „Veranstaltungskalender“.

Text: Pressestelle / UKW

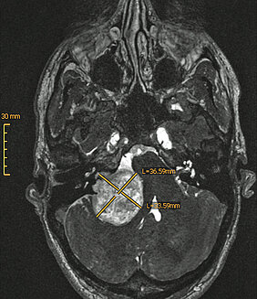
Eine MRT-Aufnahme des Kopfes auf dem ein Akustikusneurinom in der linken Kopfhälfte zu sehen ist.
Die MRT-Aufnahme zeigt ein Akustikusneurinom als kontrastmittelaufnehmende Raumforderung in der Nähe der Ohrregion.

Die MRT-Aufnahme zeigt ein Akustikusneurinom als kontrastmittelaufnehmende Raumforderung in der Nähe der Ohrregion.