Aktuelle Pressemitteilungen

Kita und Corona: Würzburger KiTa-CoV-Studie wird veröffentlicht

Einladung für Medienvertreter

Sehr geehrte Kolleginnen und Kollegen,

von Oktober 2020 bis März 2021 wurde in Würzburg eine groß angelegte Studie an Kinderbetreuungseinrichtungen durchgeführt. Knapp 600 Kinder im Vorschulalter sowie Erzieherinnen und Erzieher haben daran teilgenommen. Ein Großteil von ihnen wurde über den Studienverlauf hinweg regelmäßig auf eine Infektion mit dem neuen Corona-Virus getestet.

Hauptziel war es herauszufinden, welche Testmethode von Kindern, Eltern und Betreuungspersonal am besten akzeptiert wird, um auch auf lange Sicht durch regelmäßiges Testen mögliche Corona-Infektionen in Kinderbetreuungseinrichtungen möglichst frühzeitig und einfach entdecken zu können.

Die Studienergebnisse bieten einen Leitfaden, um auch während der Corona-Pandemie einen möglichst sicheren und kontinuierlichen Betrieb der Kinderbetreuung zu ermöglichen und die Ausbreitung von SARS-CoV-2 in den beteiligten Einrichtungen frühzeitig zu erkennen und einzudämmen.

Die Ergebnisse der KiTa-CoV-Studie werden Anfang Januar 2022 in der Fachzeitschrift JAMA Network Open veröffentlicht (Sperrfrist: 5. Januar). Zu diesem Anlass bietet Ihnen das Studienteam Gesprächstermine an:

Sie können ans Institut für Hygiene und Mikrobiologie der Universität Würzburg kommen, Josef-Schneider-Straße 2/E1, oder die Gespräche via Zoom und/oder Telefon führen, und zwar am

Mittwoch, 5. Januar 2022.

Bitte vereinbaren Sie Ihren Gesprächstermin möglichst bald mit dem Sekretariat des Instituts. Ihre Ansprechpartnerinnen sind Frau Scheiner und Frau Gabel,

T 0931 31-46161
hymi@ uni-wuerzburg.de 

Für die Gespräche stehen Ihnen die Studienleiter zur Verfügung:

  • Prof. Dr. Oliver Kurzai, Vorstand des Instituts für Hygiene und Mikrobiologie, Universität Würzburg
  • Prof. Dr. Johannes Liese, Pädiatrische Infektiologie und Immunologie, Kinderklinik und Poliklinik, Universitätsklinikum Würzburg

Organisiert wurde die vom Bundesministerium für Bildung und Forschung im Rahmen des Netzwerks InfectControl geförderte Studie gemeinsam von der Stadt, der Universität und dem Universitätsklinikum Würzburg.

 

Stefan Dreising leitet Unternehmenskommunikation am Universitätsklinikum Würzburg

Neuer Pressesprecher bringt langjährige Erfahrung in der Universitätsmedizin mit

 

Stefan Dreising leitet seit Jahresbeginn die Unternehmenskommunikation am Universitätsklinikum Würzburg (UKW). Der 46-Jährige verfügt über langjährige Erfahrung in der Universitätsmedizin: Zu seinen früheren Stationen in der Gesundheits- und Wissenschaftskommunikation zählen die Universitätskliniken in Düsseldorf, Jena und Münster. Dreising hat in Münster studiert und ist zudem ausgebildeter Journalist. Vor seinem Wechsel an die Würzburger Universitätsklinik hat er die Unternehmenskommunikation bei der Stadtwerke Jena Gruppe geleitet. Seine Stellvertreterin ist Susanne Just, die bisherige Presse-Verantwortliche des Maximalversorgers.

Dreising: „Ich freue mich darauf, gemeinsam mit meinen Team und vielen Partnern die interne und externe Kommunikation am Universitätsklinikum Würzburg weiter auszubauen. Die enorme Themenvielfalt aus moderner Patientenversorgung, renommierter Forschung und praxisnaher Lehre ist gerade hier in der Würzburger Hochschulmedizin besonders spannend.“

Kontakt:
Stefan Dreising
Mail: Dreising_S@ ukw.de
Telefon: +49 931 201 54 591

Bayerischer Forschungsverbund „FOR-COVID“ zu SARS-CoV-2 wird für drei weitere Jahre gefördert

Universitäten in Erlangen-Nürnberg, München, Regensburg und Würzburg beteiligt – Rund 2,4 Millionen Euro von 2022 bis 2024 – Wissenschaftsminister Sibler: „Den wissenschaftlichen Fortschritt nutzen und weiter ausbauen, um die Pandemie zu überwinden“

Der vom Bayerischen Wissenschaftsministerium im Herbst 2020 eingerichtete Bayerische Forschungsverbund FOR-COVID zur Erforschung des Coronavirus SARS-CoV-2 und der dadurch verursachten Erkrankung Covid-19 wird für weitere drei Jahre gefördert. Im Anschluss an die erfolgreiche Evaluation der ersten Förderphase wird der Freistaat von 2022 bis 2024 jährlich rund 800.000 Euro für den Verbund zur Verfügung stellen. Das gab Wissenschaftsminister Bernd Sibler heute in München bekannt.

„Mit dem bayernweiten Verbund FOR-COVID wollen wir einen Beitrag zur Überwindung dieser Pandemie leisten“, betonte Wissenschaftsminister Bernd Sibler. „Die Wissenschaft hat, in erster Linie durch die historisch schnelle Entwicklung wirksamer Impfstoffe entscheidende Beiträge dazu geleistet, der Pandemie den Kampf ansagen zu können. Innerhalb von weniger als zwei Jahren wurde eine enorme Menge an Wissen über das Virus gewonnen. Nun gilt es, dieses Wissen weiter zu konsolidieren, zu vertiefen und in die klinische Anwendung zu bringen. An diesem Prozess soll FOR-COVID mitwirken.“

Der Forschungsverbund umfasst acht Projekte. Daran beteiligt sind die Friedrich-Alexander-Universität Erlangen-Nürnberg (FAU), die Ludwig-Maximilians-Universität München (LMU), die Technische Universität München (TUM), die Universität Regensburg und die Julius-Maximilians-Universität Würzburg (JMU) sowie das Helmholtz-Institut für RNA-basierte Infektionsforschung (HIRI) in Würzburg.

Die FOR-COVID-Mitglieder vertreten verschiedene Fachdisziplinen von der Virologie über die Mikrobiologie bis hin zur Tiermedizin und haben im bisherigen Verlauf der Pandemie in vielfältiger Weise zum Verständnis der Erkrankung beigetragen, auch im Dialog mit der Öffentlichkeit. „Wie wichtig die verständliche Kommunikation wissenschaftlicher Erkenntnisse an die Öffentlichkeit ist, erleben wir in dieser Pandemie sehr deutlich“, stellte Sibler die Bedeutung dieses Aspekts heraus.

Die einzelnen Projekte des Verbunds befassen sich mit verschiedenen Fragestellungen zur Immunantwort nach Impfung und Infektion, zur Virus-Zell-Interaktion und zu Angriffspunkten für eine antivirale Therapie. „Damit wird die erfolgreiche Arbeit von FOR-COVID fortgesetzt und auf der Basis der bereits gewonnenen Erkenntnisse fokussiert“, sagte der Minister.

Perspektivisch soll der Verbund auch die Voraussetzungen für den Umgang mit möglichen künftigen Pandemien verbessern. „Im Rückblick auf die vergangenen zwei Jahre wird überdeutlich, mit welchen Kosten und Belastungen eine solche Pandemie verbunden ist. Wir müssen alles daransetzen, dem nächsten potenziellen Pandemievirus einen Schritt voraus zu sein, um solche tiefen Einschnitte ins gesellschaftliche Leben möglichst zu vermeiden“, so Sibler.

Sprecherin des bayerischen Forschungsverbunds FOR-COVID ist die Virologin Prof. Dr. Ulrike Protzer von der Technischen Universität München (TUM), Ihr Stellvertreter ist Prof. Dr. Oliver Keppler vom Max von Pettenkofer-Institut – Virologie der Ludwig-Maximilians-Universität München (LMU).

Der bayerische Forschungsverbund arbeitet auch mit Forschungsgruppen in Sachsen in einem bayerisch-sächsischen Forschungsnetzwerk zu SARS-CoV-2 zusammen.

 

Pressemitteilung des Bayerischen Staatsministeriums für Wissenschaft und Kunst

Uniklinikum Würzburg: 2.178 Entbindungen an der Frauenklinik im Jahr 2021

Im zweiten Jahr der Corona-Pandemie kamen an der Frauenklinik des Würzburger Universitätsklinikums bei 2.178 Entbindungen 2.261 Kinder zur Welt – ein neuer Höchstwert.

Bilder zeigen Neugeborene
Eine kleine Auswahl der im Jahr 2021 an der Würzburger Universitäts-Frauenklinik geborenen Kinder. Bilder: Thomas Firsching (3), privat (1)
Bild Zwillinge
In 2021 gab es an der Frauenklinik des Uniklinikums Würzburg 81 Zwillingsgeburten. Bild: privat

Im Jahr 2021 fanden an der Würzburger Universitäts-Frauenklinik 2.178 Entbindungen statt – eine nochmalige Steigerung zu den 2.112 Geburten des bisherigen Rekordjahrs 2020. Da es im vergangenen Jahr 81 Zwillings- und eine Drillingsgeburt am Uniklinikum Würzburg (UKW) gab, erblickten insgesamt 2.261 Kinder das Licht der Welt.

Herausfordernde Pandemiebedingungen gemeistert

„Nicht nur wegen der hohen Geburtenzahl war 2021 für mein Team erneut ein besonders herausforderndes Jahr“, kommentiert Prof. Dr. Achim Wöckel. Nach den Worten des Direktors der UKW-Frauenklinik mussten zum einen die mit der Pandemie verbundenen, aufwändigen Infektionsschutzmaßnahmen umgesetzt werden. „Zum anderen war besonders viel Empathie und Beratung gefragt. Schließlich waren viele Schwangere und deren Familien neben den häufig generell mit einer Entbindung verbundenen Ängsten durch das Thema Corona zusätzlich besorgt“, berichtet Prof. Wöckel. Umso dankbarer ist der Klinikdirektor den Hebammen, Ärztinnen und Ärzten sowie den Mitarbeiterinnen aus Pflege und Stillberatung für die täglich mit größtem Engagement und sehr viel Herzblut geleistete Arbeit.

Die beliebtesten Kindernamen 2021

Zu den beliebtesten Namen bei den letztjährig am Uniklinikum Würzburg geborenen Mädchen zählen Ella, Emilia, Emma, Sophia, Lara, Lina, Mila, Anna, Lea und Lena. Bei den Buben gehören Leon, Theo, Elias, Felix, Paul, Leo, Alexander, Luca, Ben und Luis zu den Favoriten.

Das erste Kind des Jahres

Als erstes Kind des Jahres 2022 in der Frauenklinik des UKW kam am Neujahrsmorgen um 5:15 Uhr Moritz zur Welt.

Pressemitteilung zum Download

Uniklinikum Würzburg: Adventskonzert erneut als Live-Stream

Das Bläserquartett Blechschmitt sorgte mit einem ehrenamtlichen Online-Konzert für vorweihnachtliche Stimmung am Uniklinikum Würzburg.

Es ist schon eine kleine Tradition: Seit einigen Jahren bringen lokale Musikerinnen und Musiker in der Adventszeit bei einem Konzert ehrenamtlich vorweihnachtliche Stimmung auf die Palliativstation des Uniklinikums Würzburg (UKW). Seit dem Beginn der Corona-Pandemie und den damit verbundenen Infektionsschutzvorgaben ist ein direkter Auftritt in den Räumen der Station allerdings unmöglich. Wie schon 2020 organisierte Dr. Carmen Roch, Oberärztin des Interdisziplinären Zentrums Palliativmedizin, stattdessen auch in diesem Jahr wieder eine Online-Live-Übertragung. Am 21. Dezember 2021 kam zu diesem Konzert im Hörsaal des Zentrums für Innere Medizin an der Oberdürrbacher Straße das Bläserquartett Blechschmitt zusammen: die Trompeter Peter Schilling und Michael Schmitt, der Posaunist Martin Dieser sowie Georg Leitner an der Tuba. Marion Mack von der ökumenischen Klinikseelsorge des UKW leitete die Veranstaltung mit einem spirituellen Impuls ein. Das rund einstündige Konzert mit swingenden, jazzigen und klassischen Weihnachtsliedern wurde gefilmt und simultan über die Online-Plattform Skype for Business übertragen. Außerdem war die Aufzeichnung über das klinikinterne Fernsehprogramm abrufbar. 

„Erneut konnten auf diesem Weg nicht nur auf der Palliativstation, sondern auch auf allen anderen Stationen des Klinikums Patientinnen und Patienten an der bewegenden Veranstaltung teilnehmen“, berichtet Dr. Roch und fährt fort: „Speziell in deren Namen bedanke ich mich herzlich bei den Künstlern für ihr großartiges musikalisches Geschenk. Vielen Dank auch an die Kollegen der Krankenhaushygiene für das erforderliche Hygienekonzept sowie an Günther Reimherr und sein Team vom Servicezentrum Medizin-Informatik für die technische Umsetzung!“

 

Link zur Pressemitteilung "Adventskonzert erneut als Live-Stream" herunterladen

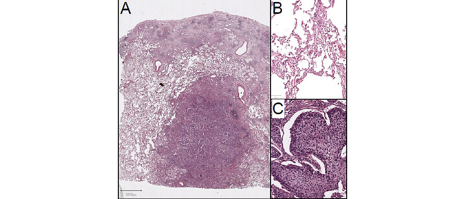
Kampf gegen die Therapieresistenz

Nicht-kleinzellige Lungenkarzinome sind eine besonders therapieresistente Krebsart. Ein Forschungsteam der Uni Würzburg will nun herausfinden, ob diese Krebsart durch die Hemmung eines bestimmten Proteins bekämpft werden kann.

Viele Krebsarten stellen aufgrund von vielen Mutationen für die Medizin eine besonders große Herausforderung dar. Die Behandlung für Betroffene ist dann äußerst komplex und nur selten von Erfolg gekrönt. Ein Forschungsteam der Julius-Maximilians-Universität (JMU) Würzburg konnte 2020 bei Plattenepithelkarzinomen eine Schwachstelle identifizieren: Das Protein Deubiquitylase USP28. Das in dieser Krebsart besonders wichtige und häufig vorkommende Protein ∆Np63 kann bislang nicht direkt angegriffen werden, ist aber von USP28 abhängig. Greift man also USP28 an, kann man damit auch den Krebs angreifen.

Hinter dieser Entdeckung steht eine internationale Studie, federführend waren hierbei Dr. Markus Diefenbacher und sein Team vom Lehrstuhl für Biochemie und Molekularbiologie I am Biozentrum der JMU. Diefenbacher will mit seinem Team nun einen Schritt weitergehen und die Rolle von USP28 beim Nicht-kleinzelligen Lungenkarzinom untersuchen, welches ebenfalls sehr häufig als nicht therapierbar gilt.

Das bisherige Forschungsprojekt zu USP28 geht daher in die nächste Runde und wird mit rund 450.000 Euro von der Deutschen Krebshilfe gefördert. In dem Projekt „Inhibition von USP28 mittels ‚small molecules‘ als therapeutischer Ansatz zur Überwindung der Therapie-Resistenz des Nicht-kleinzelligen Lungenkarzinoms“ sollen ab Januar 2022 drei zentrale Punkte untersucht werden.

Drei zentrale Forschungspunkte

Punkt Eins: „Für die Tumorentstehung müssen sich Zellen verändern. Zum Beispiel durch unkontrollierte Zellteilung oder Stoffwechseländerungen“, erklärt Diefenbacher. Das Forschungsteam will herausfinden, ob USP28 bereits in einem extrem frühen Stadium, während der Entstehung eines Nicht-kleinzelligen Lungenkarzinom, eine Rolle spielt. Falls ja, könnte ein sehr früher Therapieansatz zur Hemmung von USP28 das Wachstum von Krebszellen unterdrücken.

Punkt Zwei: Nicht-kleinzellige Lungenkarzinome sind sehr therapieresistent, die Überlebenschancen sind für Betroffene gering. „Der Tumor passt sich häufig an und kehrt nach einer Chemotherapie zurück“, so Diefenbacher. Das Team will untersuchen, ob die Hemmung von USP28 mit dem Arzneistoff Cisplatin kooperiert und die Therapie mittels dieses Chemotherapeutikums verbessert. „Die Therapie könnte dann besser funktionieren und der Krebs könnte sich nach einer Chemo nicht mehr erholen.“

Punkt Drei: Der dritte Forschungsbereich beschäftigt sich neben der Chemotherapie mit der Immuntherapie. Dem Nicht-kleinzelligen Lungenkarzinomen gelingt es, der körpereigenen Immunabwehr zu entgehen. Mit der Reduktion von USP28 wollen Diefenbacher und sein Team überprüfen, ob eine Krebstherapie mit Antikörpern eine bessere Behandlungsmöglichkeit darstellt.

Kontakt

Dr. Markus Diefenbacher, Lehrstuhl für Biochemie und Molekularbiologie I, Biozentrum der Universität Würzburg, T. +49 931 31-88167, markus.diefenbacher@ uni-wuerzburg.de

 

einBlick - Das Online Magazin der Universität Würzburg vom 21.12.2021

Das Uniklinikum Würzburg startet Corona-Schnelltestzentrum

Ab dem 20. Dezember 2021 bietet das Uniklinikum Würzburg täglich Corona-Schnelltests an. Der Service soll vor allem den Besuch von Patientinnen und Patienten des Klinikums vereinfachen.

Heute nahm das Uniklinikum Würzburg (UKW) auf seinem Campus an der Josef-Schneider-Straße ein Corona-Schnelltestzentrum in Betrieb. „Mit diesem Angebot wollen wir besonders den Besuch unserer Patientinnen und Patienten erleichtern, denn aktuell ist für deren Familien und Freunde der Zugang zum Klinikum nur nach der 2G-Plus-Regelung möglich – also mit Impf- oder Genesungsbescheinigung plus zusätzlich negativem Testergebnis“, erläutert Prof. Dr. Jens Maschmann. Der Ärztliche Direktor des UKW betont, dass das Testzentrum allerdings im Rahmen der sogenannten Bürgertestung selbstverständlich auch anderen Bevölkerungsgruppen sowie den Klinikumsbeschäftigten offenstehe. Möglich ist eine Testung ab einem Alter von einem Jahr. Im Angebot sind ausschließlich Antigen-Schnelltests.

Das Zentrum befindet sich in einem beheizten Großzelt auf der Freifläche hinter der in Gebäude D8 untergebrachten Hautklinik. Es ist nur zu Fuß oder mit dem Shuttlebus des Klinikums zu erreichen. In der Nähe des Testzentrums gibt es keine Parkmöglichkeiten. Die Öffnungszeiten sind von Montag bis Freitag zwischen 6:30 und 17:00 Uhr sowie samstags und sonntags von 12:00 bis 17:00 Uhr. Feiertags sowie am 24. und 31.12.2021 ist das Testzentrum geschlossen.

Für die Testung ist eine Anmeldung erforderlich unter www.ukw.de/patienten-besucher/schnelltestzentrum

 

Pressemitteilung "Das Uniklinikum Würzburg startet Corona-Schnelltestzentrum" herunterladen